Kansas City Canine Orthopedics
Let’s get back to play
Why Kansas City Canine Orthopedics
WHAT IS A SPECIALIST?
A specialist vet, such as a board-certified veterinary surgeon (Diplomate of the American College of Veterinary Surgeons; abbreviated DACVS), is a veterinarian who has completed 4-5 years of rigorous residency surgical training after veterinary school and passed the board-certification exam. Only veterinarians with the letters DACVS after their name are certified surgeons.
THE SPECIALISTS OF SPECIALISTS
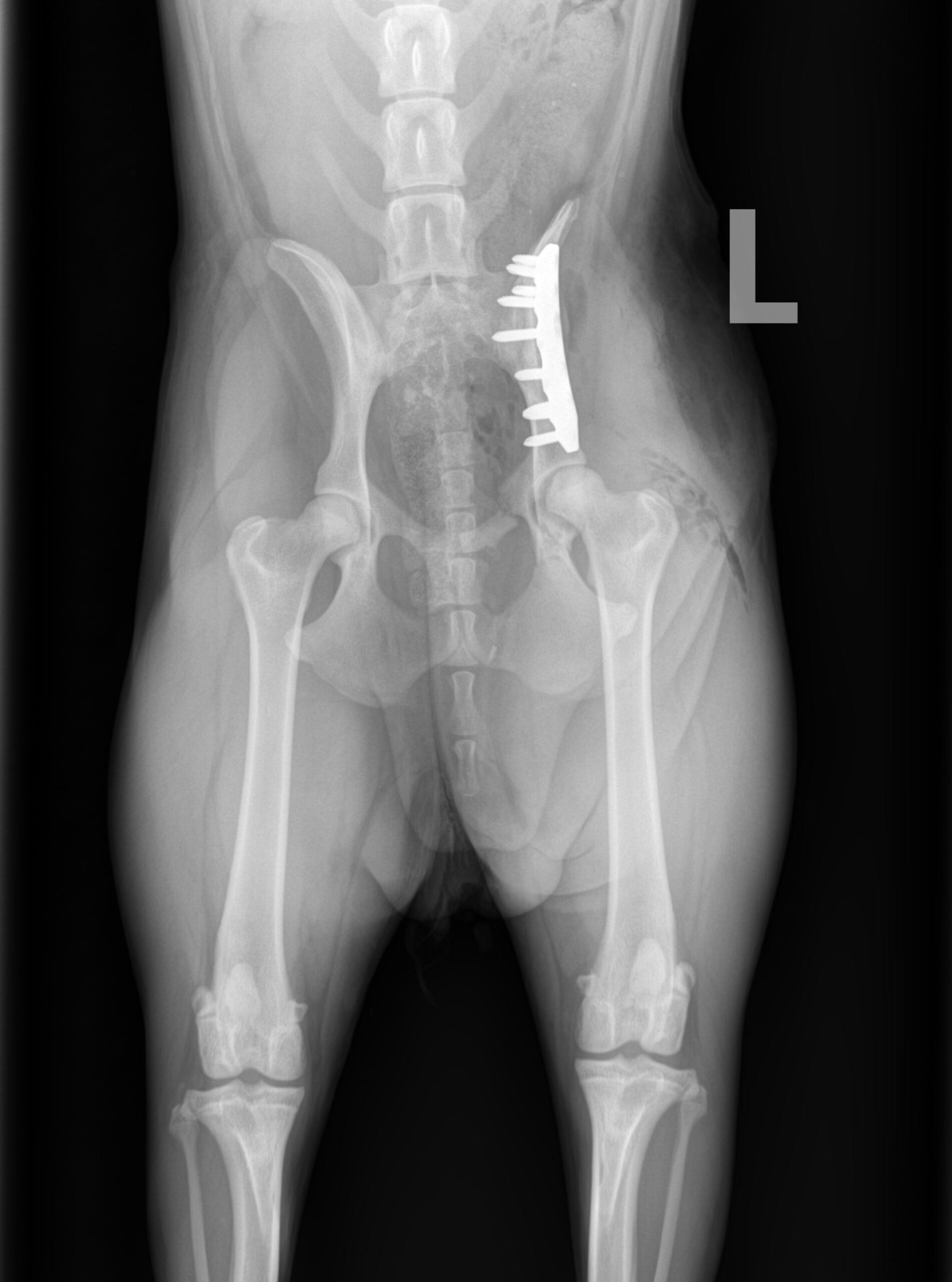
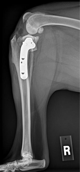
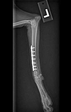
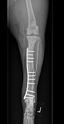
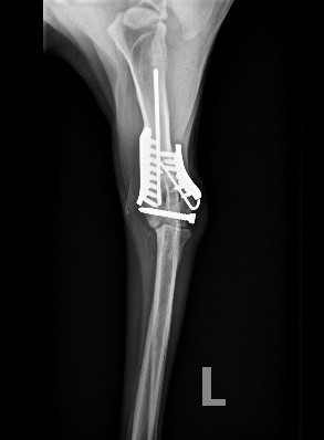
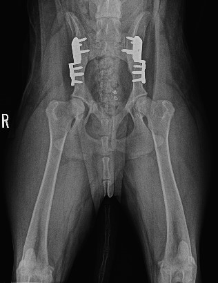
With continuing advances in medical knowledge and treatments, there is a need for sub-specialization in veterinary medicine. Just as human orthopedic surgeons do not spend time doing intestinal surgery, but focus solely on orthopedics, veterinary orthopedic surgeons are sub-specialized. Kansas City Canine Orthopedics has been exclusively dedicated to the most advanced vet orthopedics and sports medicine over the last 10 years with board-certification in surgery, a PhD in canine hip replacement, the only board-certified canine sports medicine specialist in Kansas City, and has one of only 18 veterinary surgeons in the world with fellowship status in Minimally Invasive Orthopedic Surgery.
MORE CONSISTENT RESULTS, BETTER OUTCOMES
For athletes (human or canine), it is not only the desire to win during a competition that results in success; it’s the dedication to training and preparation that ultimately results in championships. Kansas City Canine Orthopedics’ commitment to obtaining the highest level of qualifications matters because ultimately the knowledge and skill developed with such extensive training, research, and preparation equate to more consistent results and better outcomes for our pet patients. And, as our mission statement affirms, it is our desire for success in 100% of our patients that drives us to seek to be the best animal hospital specializing in orthopedic and sports medicine in the Midwest.
Our Team of Specialty Vets in Shawnee, Kansas
Meet Our Orthopedic Veterinarians and Sports Medicine Team
The specialized veterinary orthopedics and sports medicine team at Kansas City Canine Orthopedics is dedicated to alleviating pain and optimizing mobility, function, strength, and quality of life. Our outstanding veterinary surgeons and staff proudly provide expert vet care in Shawnee, KS, and surrounding areas, including Overland Park, Kansas City, Lenexa, Bonner Springs, Leawood, Mission, Prairie Village, and beyond. Learn more about our team and their commitment to excellence.

Dr. Samuel P. Franklin
DVM, MS, PhD, DACVS, DACVSMR

Dr. Andrew Goodman
DVM, DACVS

Dr. Steve Riley
DVM, DVSC, DACVS

Dr. Marko Stejskal
DVM, PHD, DACVS-SA, Dipl. ECVS
ADVANCED VETERINARY ORTHOPEDIC SERVICES
Our world-class, board-certified veterinary surgeons are dedicated to providing the most advanced canine orthopedic veterinary surgery and musculoskeletal assessment to ensure your beloved pet receives the most appropriate and comprehensive veterinary treatment available.
CANINE SPORTS MEDICINE SERVICES
Our veterinary specialists have extensive training, experience, and expertise in the non-surgical treatment and optimization of athletic performance in agility, flyball, coursing, retrieving, and hunting dogs. Check out our page on Canine Sports Medicine to learn more about our esteemed, board-certified canine sports medicine specialist vets in Kansas and what kinds of services they offer.
- Comprehensive assessment and diagnosis of problems that affect canine athletes and working dogs
- Diagnostic nano-arthroscopy including for
- Medial shoulder instability
- Elbow disorders
- Stifle (knee) injuries
- Canine orthobiologics including
- Platelet-rich plasma
- Stromal vascular fraction
- Bone marrow aspirate concentrate
- Autologous protein solution
Our Reviews
Thank you for your kind words
Hearing from our clients and seeing our patients back in action is what drives us! Thank you for taking the time to let us know that we have helped you and your canine companion get back to what you love.
